Das Team von Zahntechnik Kreil in Vallendar

Herausnehmbarer Zahnersatz

Hier bieten wir die komplette Bandbreite an Techniken und Materialien in eigener Fertigung an.

Von hauchdünnen Sin-veneers über Presstechnik bis hin zur Cad-Cam gefertigten Kronen oder Brücken aus Zirkon, Hochgold oder NEM-Legierung.

 

Geschiebe

Ein Geschiebe ersetzt mehrere fehlende Zähne, wenn noch eigene Zähne vorhanden sind. An diese werden Verankerungen befestigt, in die die Teilprothese eingeschoben wird. Das ermöglicht einen sicheren Halt des Geschiebes. Es kann jederzeit zur Pflege herausgenommen werden und stellt eine oftmals preisgünstigere Alternative zur Teleskopprothese dar.

 

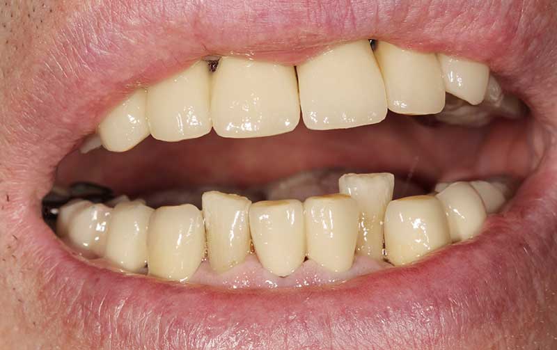
Unser Patientenfall:

Mini-SG GESCHIEBE
mit integriertem Schubverteiler

  • Geschiebe mit integriertem Schubverteiler - vorherDie Ausgangssituation
  • Geschiebe mit integriertem Schubverteiler - nachherDas Ergebnis
Unsere gesamte Dokumentation: