Das Team von Zahntechnik Kreil in Vallendar

Festsitzender Zahnersatz

Hier bieten wir die komplette Bandbreite an Techniken und Materialien in eigener Fertigung an.

Von hauchdünnen Sin-veneers über Presstechnik bis hin zur Cad-Cam gefertigten Kronen oder Brücken aus Zirkon, Hochgold oder NEM-Legierung.

 

Vollkeramik

Die Auswahl der Materialien ist hier von großer Bedeutung. Vollkeramische Werkstoffe bieten uns neben ihrer sehr guten biologischen Verträglichkeit und einer hohen Festigkeit auch Lichteigenschaften, die der natürlichen Zahnsubstanz ähnlich sind.

 

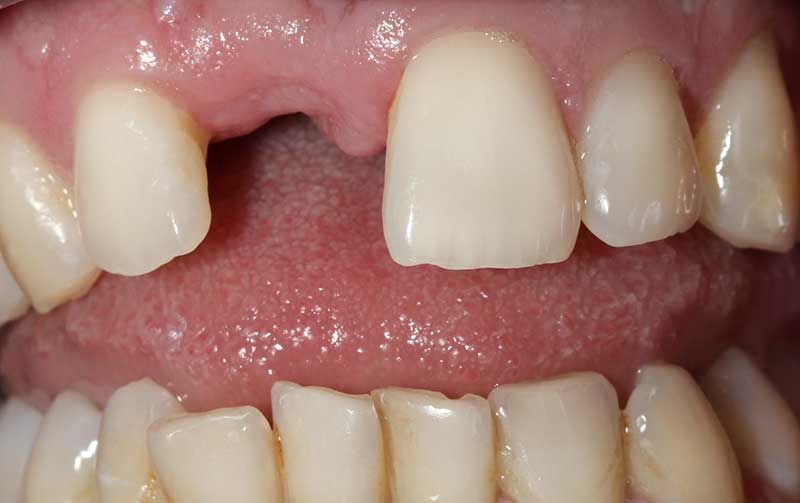
Klebebrücke

Mit einer Klebebrücke (auch Adhäsivbrücke genannt) werden fehlende Zähne, für die umliegenden Zähne zahnschonend, ersetzt. Das geschieht durch flügelartige Ausläufer an der Klebebrücke, die nur auf der Rückseite der nebenliegenden Zähne aufgeklebt werden und Ihre Zahnvorderseiten völlig unberührt lässt. Dadurch ist sie aus zahnmedizinischer Sicht besonders zu empfehlen.

 

 

Unser Patientenfall:

KLEBEBRÜCKE aus Vollkeramik
mit Überpresstechnik

  • Klebebrücke aus Vollkeramik - vorherDie Ausgangssituation
  • Klebebrücke aus Vollkeramik - nachherDas Ergebnis
Unsere gesamte Dokumentation: